femio 綻放肌源 femio 綻放肌源
femio 綻放肌源

愛美同享受生活,係每個女仔嘅心願,但皮膚狀況各有不同,唔係每位女性都係一式一樣儀器、一瓶精華就可以解決所有問題。 Femio 畀你一個靜靜嘅小天地,同自己嘅皮膚好好傾下,搵出最啱你嘅護膚密碼。

Femio 用科技配合天然成份,細心打磨每個細節,唔單只係喺店裡照顧你,連屋企都幫你揀最啱嘅護理方法。從國際認可嘅先進儀器,到純天然精華同屋企護理,一套療程做到啱晒你嘅需要和度身訂造嘅護膚感覺。

透過數據化嘅皮膚分析,幫你了解膚質,畀你詳細方案,等你可以按自己需要同預算,自由揀選,真正改善皮膚。

femio 綻放肌源

Femio 綻放肌源 vs 市面上療程

femio 綻放肌源
Femio 綻放肌源
市面上療程
市面上療程

對比坊間單一項目, 無論什麼皮膚情況只用單一儀器進行改善。 Femio有更全面及更了解客人皮膚需要的組合。 例如:高能量儀器前或後的補濕護理從而令效果提升及幫助皮膚修復。

可針對的皮膚問題


femio
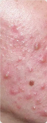
暗瘡
femio
皺紋
femio
缺水
femio
毛孔
femio
色斑
femio
敏感
femio
暗啞
femio 綻放肌源 femio 綻放肌源
fotona starwalker
立即探索
Femio客制化療程項目
綻放肌源
體驗價:
$980 (1部儀器 配合2種精華)
$1,380 (2部儀器 配合3種精華)
femio femio femio femio

Femio 選用國際認可的先進科技儀器

Femio 嚴選國際認可嘅先進科技美容儀器,包括 FDA、FKDA、CE 認證,確保安全可靠同高效護膚效果。用科技助你準確分析膚質,帶來專業同定制嘅美容體驗,讓你放心享受每一次護理。

femio

Femio 綻放肌源 Q&A

Q.Femio 綻放肌源是什麼?
Q.Femio 綻放肌源過程會痛嗎?
Q.Femio 綻放肌源需要多少次療程?
Q.Femio 綻放肌源後需要多久恢復?
Q.Femio 綻放肌源的價錢是多少?
Q.Femio 綻放肌源能治療哪些皮膚問題?
Q.Femio 綻放肌源有什麼特別之處?
Q.Femio 綻放肌源後會有副作用嗎?
Q.Femio 綻放肌源需要多長時間?
Q.Femio 綻放肌源技術的優勢是什麼?
Q.Femio 綻放肌源是否需要特殊護理?
Q.Femio 綻放肌源適合哪些年齡段的人使用?
Q.如何選擇Femio 綻放肌源是否適合自己?
Q.Femio 綻放肌源和其他激光技術有何不同?
Q.Femio 綻放肌源可以與其他美容療程結合使用嗎?

立即查詢

Femio客制化療程

綻放肌源

體驗價:$980/1380

Femio
femio whatsapp icon femio apply icon femio BTT icon